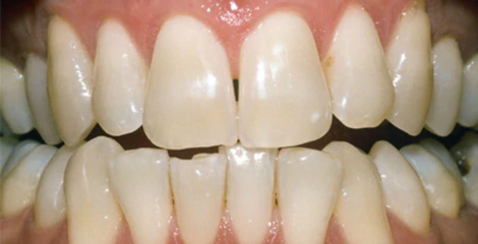
Yellow, coffee or tobacco stained, and discolored teeth can make you look unattractive and older than you are.
Dramatically improve your teeth color with teeth whitening treatment
You have perfectly shaped teeth and pink healthy gums, but you hate the discoloration and stains. If you smoke or drink a lot of coffee, chances are you have discolored teeth. The good news is that it is easy to dramatically improve the color of your teeth with Zoom Teeth Whitening treatment at Dental101.



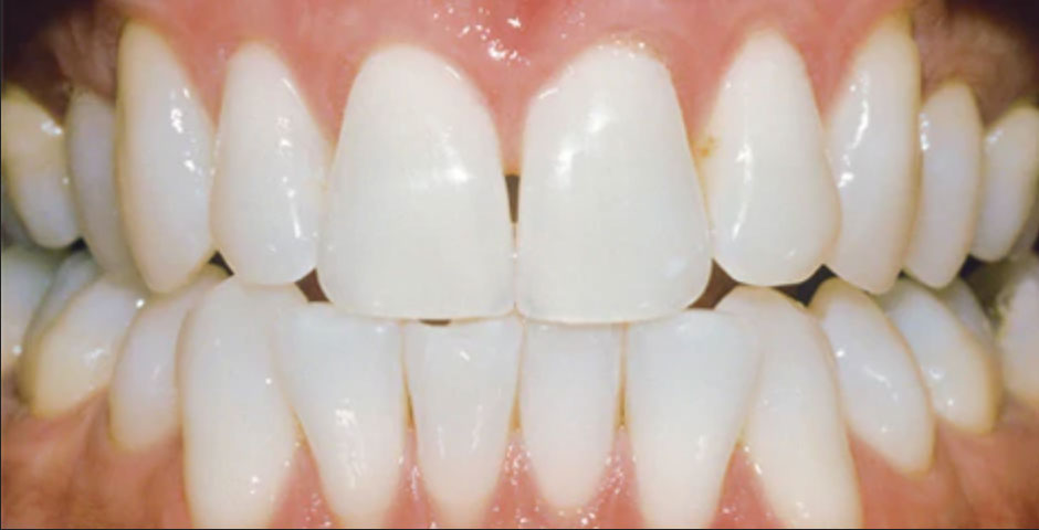
Professional Teeth whitening is a safe and non-invasive procedure that removes deep stains embedded in your tooth enamel. This will allow your teeth to appear brighter and whiter, and give you a smile that take years off your face.
At Dental101, we perform two types of teeth whitening depending on what you need – In office Whitening and Take Home Whitening. During the consultation, we try to understand exactly what you need and recommend a treatment that suits your needs.
In office whitening
If you need quick results and cannot be bothered with the hassles of using teeth whitening kits at home, in office whitening is the perfect bet for you.
In just a single sitting, we can remove years of stains that have been deposited on your enamel. The treatment involves application of a whitening gel on your teeth, which is activated by a UV lamp for 15 minutes. The procedure is repeated about 2 to 3 times till the desired results are achieved.
In office whitening can be completed within less than 90 minutes, and once we’re done, your teeth may be as many as 12 shades whiter than they used to be.

Once we have ascertained the problem, we will direct you to come into the Practice for fast treatment.

Take Home Whitening Kits
Talk to our dentist about the professional quality take home whitening kits to whiten teeth within a limited budget.
Whitening kits do not provide instant results like in office whitening, but they can still get rid of heavy stains over a period of 2 weeks. If you follow the instructions accurately, you may be able to achieve similar results as our in office teeth whitening.
The take-home whitening kit includes a custom fitted mouth tray and a whitening gel. The custom-made tray makes all the difference and allows the gel to work effectively. Over the counter teeth whitening kits with their one size fits all mouth tray will not be able to give you such high quality results. Moreover, some over-the-counter whitening tooth paste and gels can wear away the enamel and cause sensitivity.

